Smile Gallery

We pride ourselves on improving smiles every day.

Composite Bonding

Composite bonding is a cosmetic dental procedure where a tooth-colored resin is applied to a tooth to repair damage or alter its shape, size, or color. The beauty of this process is how conservative and minimally invasive it is! We are able to make significant improvements without removing any tooth structure. Dr. Casey Nick loves the artistry of free-handing ideal contours and blending ideal colors to improve a smile. Call us or book online today to learn more!

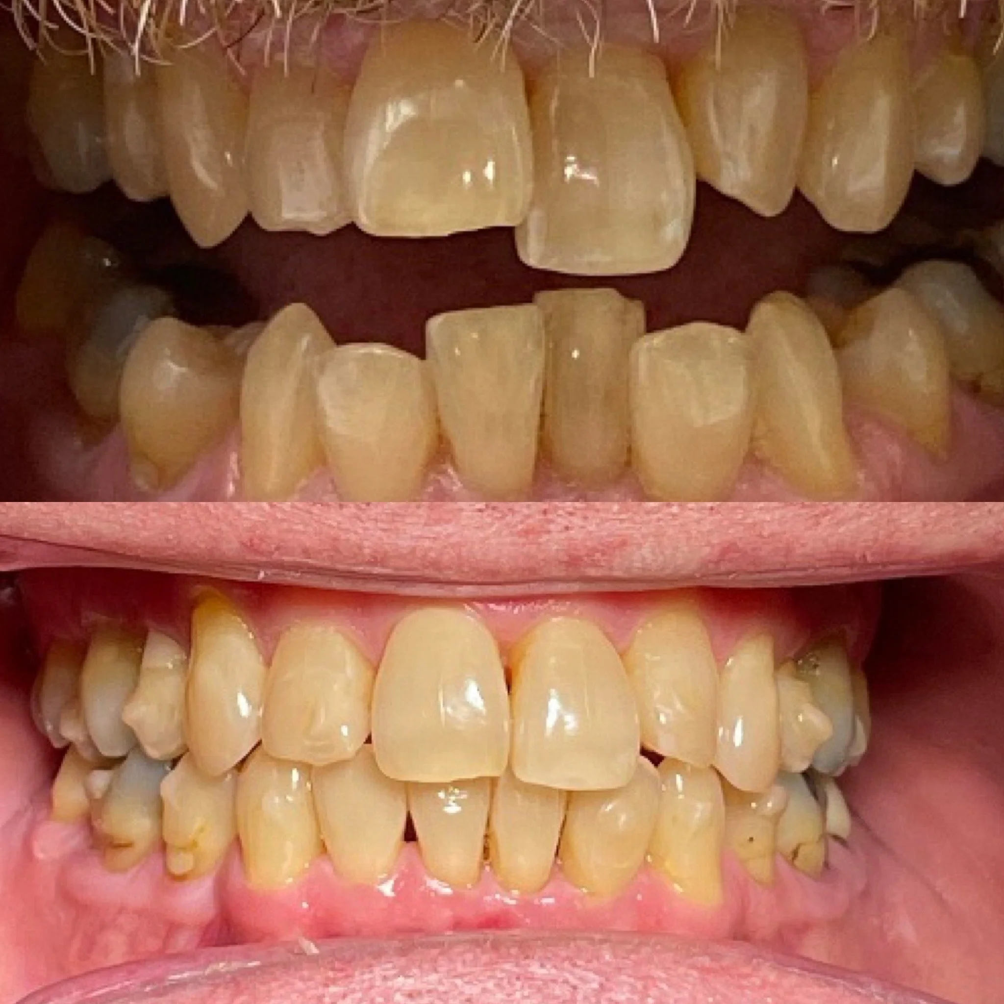
Cosmetic Crowns & Veneers

Veneers are thin shells bonded to the front of teeth to improve aesthetics, while crowns are tooth-shaped caps that cover the entire tooth to restore its strength, shape, and appearance. Here at Lincoln Square Dental Spa, our goal is to always repair each tooth with the most aesthetic and structurally-sound restoration regardless of where the tooth is in the mouth. Your “normal crowns” should look as beautiful as a veneer; and your veneers should always look natural and be as strong as a crown. We customize each patient’s treatment plan to make sure all goals are met and that each patient leaves loving their smile! In the cases below, Dr. Casey Nick uses a combination of both crowns and veneers to create rejuvenated smiles. Call us or book online today to learn more!

Invisalign

Invisalign is a modern orthodontic treatment that uses a series of clear, removable aligners to gradually straighten teeth, serving as a discreet alternative to traditional braces. Here at Lincoln Square Dental Spa we will first conduct your consultation with a 3D scan to create a personalized treatment plan, then provide you with custom-made aligners to slowly transform your smile. The dentist will monitor your progress during regular check-ups to ensure your teeth are shifting correctly to achieve your dream smile!  Call us or book online today to learn more!

Book A Consultation Today!

BOOK NOW